Read More Hospice and Palliative Care Gentle Support for Pets in Their Final Life Stage
At Senior Pet Vet, our multi-doctor team provides compassionate hospice and palliative care for pets living with life-limiting or incurable conditions. We are trained and certified in this advanced field of medicine, guiding families through this stage with both expertise and heart.
What Hospice Care Includes:
  • Pain management and physical comfort for your pet
  • Emotional support and clear education for caregivers
  • A collaborative hospice team to help maintain quality of life
  • Guidance to help you care for your pet’s medical and emotional needs at home
  • Time to say goodbye in a more personal, loving way
Hospice care may be a good fit if:
  • You want to participate in your pet’s comfort and care
  • You have the time and resources to provide home support
  • You value having a plan in place for a peaceful, dignified goodbye
We’re here when you need us.
To learn more or schedule a consultation, please call: 201-870-3867

Read More In Home Diagnostics Comfort-focused care, right where your pet feels safest.
Senior Pet Vet provides a range of diagnostic services in the comfort of your home—designed to support thoughtful decision-making for pets receiving hospice and palliative care.
Our mobile diagnostics include:
  • Full-service laboratory testing
  • Senior wellness blood panels
  • Disease monitoring (kidney disease, diabetes, endocrine conditions)
  • Fine-needle aspiration for tumor evaluation
  • Complete blood count (CBC)
These tools help us assess your pet’s condition with minimal stress, so we can adjust their care plan with accuracy and compassion.

Read More In Home Diagnostics Comfort-focused care, right where your pet feels safest.
Senior Pet Vet provides a range of diagnostic services in the comfort of your home—designed to support thoughtful decision-making for pets receiving hospice and palliative care.
Our mobile diagnostics include:
  • Full-service laboratory testing
  • Senior wellness blood panels
  • Disease monitoring (kidney disease, diabetes, endocrine conditions)
  • Fine-needle aspiration for tumor evaluation
  • Complete blood count (CBC)
These tools help us assess your pet’s condition with minimal stress, so we can adjust their care plan with accuracy and compassion.

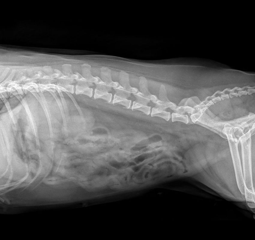
Read More Digital Radiology Gentle, in-home imaging for pets receiving hospice or palliative care.
Our team provides on-site digital radiology to help evaluate pain, illness progression, or quality-of-life concerns—without the stress of a clinic visit.
Thoracic (Chest) Imaging
  • Heart disease (congestive heart failure, heart enlargement)
  • Lung/airway conditions (pneumonia, chronic cough, tracheal collapse)
  • Fluid in the chest (effusion)
Abdominal Imaging
  • Bladder or kidney stones
  • Abdominal tumors or cancer screening
  • Fluid in the abdomen (effusion)
Orthopedic Imaging
  • Bone tumors
  • Arthritis evaluation
These gentle, in-home screenings support thoughtful care planning and help us ensure your pet’s comfort every step of the way.

Read More Read More Veterinary Acupuncture Comfort-focused therapy for aging and chronically ill pets
Acupuncture is a gentle, evidence-based treatment that can improve comfort and support well-being in pets receiving palliative or hospice care. It involves placing tiny needles at specific points on the body to stimulate natural healing responses.
Benefits may include:
  • Pain relief
  • Reduced inflammation
  • Relaxation and comfort
  • Improved mobility
  • Support for appetite, digestion, and energy
Common uses in palliative care:
  • Arthritis and mobility issues
  • Cancer support
  • Geriatric weakness
  • Kidney and liver disease
  • Quality of life enhancement
We offer a variety of techniques, including dry needle, aquapuncture, and electroacupuncture. Most pets respond within 1–3 sessions, with treatment frequency tailored to their needs.
Chinese herbal medicine may also be recommended to complement acupuncture and support whole-body balance.
Veterinary Acupuncture Comfort-focused therapy for aging and chronically ill pets
Acupuncture is a gentle, evidence-based treatment that can improve comfort and support well-being in pets receiving palliative or hospice care. It involves placing tiny needles at specific points on the body to stimulate natural healing responses.
Benefits may include:
  • Pain relief
  • Reduced inflammation
  • Relaxation and comfort
  • Improved mobility
  • Support for appetite, digestion, and energy
Common uses in palliative care:
  • Arthritis and mobility issues
  • Cancer support
  • Geriatric weakness
  • Kidney and liver disease
  • Quality of life enhancement
We offer a variety of techniques, including dry needle, aquapuncture, and electroacupuncture. Most pets respond within 1–3 sessions, with treatment frequency tailored to their needs.
Chinese herbal medicine may also be recommended to complement acupuncture and support whole-body balance.